Dişeti hastalığı hastalık habercisi Diş sağlığı

Dişeti hastalığı hastalık habercisi

Tahmini okuma süresi: 3 dakika

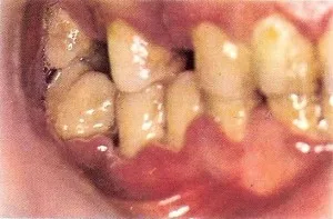
Periodontal hastalık olarak adlandırılan dişeti hastalığı dişetinde oluşan bakteriyel bir enfeksiyondur ve aslında bütün vücudunuzu etkiler. Diş eti hastalığının neden olduğu bakteriler eğer tedavi edilmezlerse ...

Periodontal hastalık olarak adlandırılan dişeti hastalığı dişetinde oluşan bakteriyel bir enfeksiyondur ve aslında bütün vücudunuzu etkiler. Diş eti hastalığının neden olduğu bakteriler eğer tedavi edilmezlerse bütün vücudunuzda kan yoluyla dolaşır ve ciddi rahatsızlıklara neden olurlar. Diş eti hastalığının birçok hastalıkla arasında tahmin edilenden daha fazla bir bağ olduğunu vurgulayan Plusdent Ağız ve Diş Sağlığı Kliniği?nden Mehmet Kazandı bize bu hastalıklardan örnekler verdi;

Ülser; Periodontal hastalık ve ülser arasında bir bağ bulunmaktadır. Diş eti hastalığına sahip kişilerin ağzında bulunan bakterilerle gastrik ülser bakterileri aynı bakterilerdir. Eğer ağzınızdaki bakteri miktarı çok fazlaysa bakteriler ağzınızdan midenize taşınırlar buda ülsere neden olabilir.

Kalp Hastalığı; Plusdent Diş Kliniği Diş Hekimi Mehmet Zahid Kazandı yapılan son araştırmalara göre bazı kalp ve damar hastalıklarının ağız sağlıyla ilişkilendirilebildiğini belirtiyor. Bazı araştırmacıların ise dişeti hastalığından kaynaklanan bakterilerin kalp ve damar sistemini etkileyebileceğine inandıklarını da ekliyor.

Diyabet; Kazandı diyabetlilerin dişeti hastalığına yakalanma risklerinin normal bireylere göre 3-4 kat daha fazla olduğunu ve bunun için diyabetlilerin ağız sağlığı ve hijyenine çok dikkat etmeleri gerektiğini ve bunu için ise düzenli olarak diş hekimlerini ziyaret etmeleri gerektiğini belirtiyor.

Erken Doğum; Yeni araştırmalar Periodontal hastalığa sahip hamile kadınların bu hastalığa sahip olmayanlara oranla 7-8 kat daha fazla erken doğum yapma ya da bebeklerini belirli bir kilonun altında doğurma olasılığına sahip olduklarını göstermiştir. Bu nedenle Diş Hekimi Mehmet Kazandı anne adaylarının ağız sağlıklarına ve hijyenlerine çok dikkat etmeleri gerektiğini ve de düzenli diş hekimlerini ziyaret etmeleri gerektiğini belirtiyor

Bulaşıcı Bir Hastalıktır; Periodontal hastalık bulaşıcı bir hastalıktır ve tükürük yoluyla bulaşır. Yeni doğan bebekler ise bakteriyel floralarını annelerinden emme yoluyla alırlar dolayısıyla periodontal hastalık anneden bebeğe geçebilir.

Salgın bir hastalıktır; Günümüzde dişeti hastalığı sınırlandırılamayan bir hastalıktır ve her yaşta meydana gelebilir. Hatta 5 yaşından küçük bir çocukta bile dişeti hasatlığının görülebilir.

Periodontal hastalığın neden olduğu diğer hastalıklardan etkilenmemek için düzenli diş hekiminizi ziyaret edin ve çok geç kalmadan tedavi olun.

www.protetix.com

Bu haberi nasıl buldunuz?

#Kışın hasta olmamak için devamlı vitamin hapları kullanıyor musunuz?

Oy kullanarak KVKK / Gizlilik Politikası'nı kabul etmiş sayılırsınız. Kişisel verileriniz işlenmemekte, yalnızca IP adresiniz tekrar oy kullanımını önlemek amacıyla geçici olarak saklanmaktadır.

Yorum Yap